Aree di intervento dello studio:
dalla prevenzione alle Terapie
a salsomaggiore Terme
Professionalità ed esperienza
Grazie a tecnologie all'avanguardia e ad un team di professionisti altamente qualificati, offriamo trattamenti odontoiatrici all'avanguardia. Dalla prevenzione alla chirurgia orale, ogni intervento è eseguito con la massima precisione ed attenzione ai dettagli.
Ti offriamo un piano di trattamento su misura, tenendo conto delle tue esigenze e delle tue aspettative.
Scopri le nostre soluzioni personalizzate per un sorriso sano e bello, troverai la soluzione più adatta a te!
Prevenzione
Tutti gli spazzolini vanno bene?
Una forte concentrazione di fluoro nei dentifrici dei bambini è sana?
Un collutorio vale l'altro?
Rispondere in maniera corretta a tutte le domande in tema di prevenzione e profilassi è fondamentale per aiutare la consapevolezza del paziente, insieme, naturalmente, a controlli periodici.
Una igiene orale corretta riduce notevolmente il rischio di carie e problemi gengivali.
Interventi
Carie
Un cambiamento di colore dello smalto, delle fitte quando si addenta qualcosa di freddo e dolce, sono piccoli segnali di allarme che possono annunciare una carie. L’unica persona che può curare la carie è il proprio dentista di fiducia.
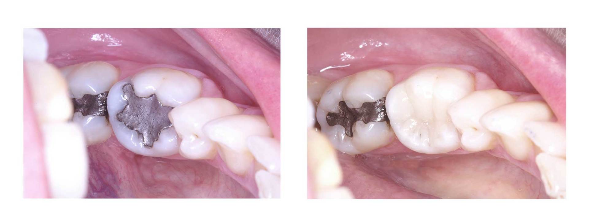
Otturazioni e conservativa
I materiali in resine composite ,hanno sostituito da anni i metalli quali amalgama d’argento per le otturazioni , cioè per quelle lesioni medio/piccole dei denti. Il risultato finale deve essere infatti tale da conferire un “sorriso naturale”. Ecco perché poniamo molta attenzione alle soluzioni odontoiatriche più innovative.
Corone, ponti
Per la perdita i più ampia di tessuto dentale ci sono le corone, protesi che ricreano intere porzioni di un dente. I ponti invece sostituiscono un dente mancante (o più denti), colmando lo spazio vuoto interdentale cretosi . Oggi però l’utilizzo della implantologia ne riduce molto l’utilizzo, evitando interventi sui denti naturali vicini che sarebbero interessati come pilastri.
Trattamento del canale radicolare
Un dente con la polpa infetta o una lesione comunque penetrante determina forte dolore accompagnato a volte da una infezione acuta che si manifesta con gonfiore della zona interessata... L’endodonzia è una procedura conservativa che permette insieme ad altre il mantenimento in bocca di denti anche gravemente compromessi.
Protesi implantare
Le protesi implantari rappresentano l'attuale standard di cura per la sostituzione di uno o più denti fino ad intere arcate persi per lesioni o malattie. Questa soluzione protesica fornisce una solida base per i denti sostitutivi fissi.
Protesi mobili totali o parziali (dentiere)
Tecnica tradizionale per riabilitare anche tutti i denti della bocca; si tratta di una protesi rimovibile che sostituisce una sezione o tutti i denti mancanti sull'intera arcata. Oggi tale tecnica è superata ma si rivela utile in diversi i casi.
Ortodonzia per tutte le età anche invisibile (invisaline)
Raddrizzare i denti non allineati ti darà gengive e denti più sani e ridurrà il rischio di usura anomala, migliorando i rapporti tra le arcate con beneficio alle articolazioni temporomandibolari e al sistema neuro/muscolare del cavo orale.
Emergenza
Intervenire rapidamente per riparare uno o più denti con un alto valore estetico, gestire tempestivamente la perdita completa di elementi dentali a seguito di un trauma o alleviare il dolore acuto, sono solo alcune, delle emergenze odontoiatriche di pronto intervento affrontate dal team dello Studio Dott. Roberto Cupola a Salsomaggiore Terme.
Grazie a un'organizzazione efficiente ea tecnologie all'avanguardia, lo studio è attrezzato per gestire con prontezza ogni tipo di urgenza odontoiatrica, garantendo soluzioni rapide ed efficaci.
Gnatologia e Posturologia
Cefalee, emicranie, fastidi articolari agli arti inferiori e superiori, dolori alla colonna vertebrale, rumori mandibolari, acufeni. Talvolta questi sintomi possono insorgere anche a causa di denti non perfettamente allineati. Con una corretta terapia e non invasiva, che prevede un riequilibrio della chiusura dei denti e della postura del corpo si può migliorare il nostro benessere psicofisico.
Gnatologia
La gnatologia studia gli organi e apparati che dal lato fisiologico e patologico possono essere collegati ai problemi dell’occlusione dentaria (rapporti disarmonici tra denti dell’arcata superiore e inferiore, funzionalità dell’articolazione temporo-mandibolare, dei muscoli della masticazione e del sistema nervoso).
Posturologia
Una cattiva postura può generare importanti patologie, tra cui: mal di schiena, dolori cervicali e al collo, contratture alle spalle, disordini legati a denti e masticazione, stanchezza cronica, problemi muscolari e articolari. Attraverso test e prove, lo specialista in posturologia analizza le cause del dolore e attuare una rieducazione posturale grazie a un approccio multidisciplinare.
Odontofobia
Odontofobia, sedazione e supporto psicologico
Abbiamo risolto il problema della paura del dentista?
Forse no ma molto è stato fatto per eliminarla.
Nei bambini viene somministrata in dose ridotta con l’azione sedativa ed analgesica che si avverte in alcuni minuti. A parte le somministrazioni farmacologiche comunque, molto fa il dialogo tra il paziente e lo specialista. I denti vanno curati e, nei casi più difficili, collaboriamo con psicoterapeuti capaci di guidare il paziente verso un approccio più sereno nei confronti dei trattamenti odontoiatrici attraverso tecniche di rilassamento.
Prenota un appuntamento
Contatta lo studio odontoiatrico e prenota un appuntamento per il benessere del tuo sorriso.
Chiama Ora!









